A colocação imediata de implantes em estágio único, expondo um parafuso cicatrizador ou elemento protético provisório, favorece a preservação dos tecidos gengivais peri-implantares interproximais, minimizando o desconforto do paciente e o tempo de tratamento. Esta abordagem, alinhada com as práticas minimamente invasivas em implantodontia estética, exige conhecimento, aprendizado e prática cuidadosos. Os critérios e técnicas para sua execução adequada, visando resultados de longo prazo bem-sucedidos, já foram estabelecidos.
Desafios do Posicionamento de Implantes Imediatos
O principal desafio na colocação de implantes imediatos é alcançar uma estabilidade primária adequada no alvéolo pós-extracção, idealmente sem levantar um retalho. Aspectos como a arquitetura alveolar, a existência de osso apical e palatino ao alvéolo para suporte, e a qualidade da crista óssea e do tecido mole devem ser meticulosamente avaliados. Embora muitos clínicos realizem implantes imediatos sem imagens radiográficas tridimensionais, em casos de dúvida anatômica, recomenda-se o uso de tomografia computadorizada.
Desvantagens e Soluções para Implantes Imediatos
A colocação de implantes imediatos pode levar a alterações ósseas durante a reparação, potencialmente causando retração da margem gengival. Para minimizar esse risco em áreas estéticas, é crucial otimizar a qualidade e quantidade do tecido gengival vestibular. Uma solução eficaz é preencher o espaço entre o alvéolo e o implante com osso particulado e aumentar o volume gengival através de enxerto de tecido mole.
Técnica de Enxerto Ósseo e Gengival Semilunar
Uma técnica promissora envolve o uso de enxerto ósseo com enxerto gengival semilunar, preenchendo o espaço entre a parede óssea vestibular do alvéolo e o implante com osso mineralizado particulado, seguido de um enxerto de tecido mole semilunar transplante para o leito receptor vestibular. Essa abordagem não apenas evita o colapso do alvéolo implantado, mas também aprimora o biótipo gengival vestibular, promovendo a estabilidade da margem gengival e minimizando a morbidade cirúrgica.
Vantagens e Considerações Finais
Este procedimento oferece vantagens como simplicidade, morbidade cirúrgica mínima e preservação da crista óssea vestibular. A técnica favorece a reepitelização rápida da área doadora com desconforto mínimo, permitindo a coleta de múltiplos enxertos de um único lado do palato. Além disso, melhora as condições iniciais desfavoráveis da margem gengival, reduzindo a necessidade de técnicas alternativas mais demoradas. Mesmo na eventual perda do enxerto ou reabsorção óssea além do esperado, abordagens tradicionais podem ser adotadas para otimizar os resultados sem a necessidade de substituir a coroa protética.
Componentes do Exame Estético
A obtenção de um resultado estético satisfatório em cirurgia plástica facial começa com uma avaliação detalhada dos tecidos moles e duros ao redor da área a ser tratada e dos dentes naturais. Falhas nesse processo podem levar a um diagnóstico incorreto e, consequentemente, a um plano de tratamento inadequado, culminando em resultados estéticos insatisfatórios e desconforto desnecessário para o paciente. A importância de uma avaliação precisa é enfatizada através da apresentação de casos clínicos que demonstram a aplicação de estratégias cirúrgicas e técnicas minimamente invasivas adequadas em situações complexas, incluindo a perda óssea extensa em áreas anteriores e a utilização de implantes curtos e largos em áreas posteriores, onde a estética não é o foco principal.
Os elementos chave para a elaboração de um plano de tratamento estético eficaz incluem: a queixa principal do paciente, análise da área estética envolvida, a posição dos dentes, o contorno gengival, a localização da crista óssea, o biótipo do paciente, a forma dos dentes, as deficiências verticais e horizontais da crista óssea, e a condição oclusal. Dominar a habilidade de examinar e identificar problemas relacionados a esses componentes é fundamental para o sucesso do tratamento.
Caso Clínico: Aumento Simultâneo de Osso e Tecido Mole com Implantes Imediatos em Região Anterior da Maxila
História Dental e Queixa Principal
Uma paciente de 70 anos, com mobilidade dental severa nos quatro incisivos superiores e desconforto, sem contraindicações médicas para tratamento odontológico, desejava a substituição dos dentes por implantes dentários. Preocupada com o potencial desconforto da cirurgia, ela recusava o uso de prótese parcial removível, mesmo que temporariamente.
Exame e Diagnóstico
Os incisivos superiores apresentavam periodontite moderada a severa, com mobilidade acentuada. O prognóstico periodontal e restaurador era desfavorável. A avaliação radiográfica indicava perda óssea periodontal horizontal e vertical moderada a severa, com a crista óssea em posição muito apical.
Objetivos e Opções de Tratamento
O objetivo era utilizar uma abordagem cirúrgica minimamente invasiva, evitando múltiplos procedimentos cirúrgicos. As opções consideradas incluíam a substituição dos incisivos por prótese fixa convencional, esperar a cicatrização após extração para inserção de implantes, e extração com colocação imediata de implantes e prótese temporária.
Estratégia Cirúrgica e Plano de Tratamento
Foi escolhida a extração dos incisivos com colocação imediata de quatro implantes e prótese temporária. A técnica de enxerto ósseo associada ao enxerto gengival semilunar visou ganhar volume tecidual vestibular, usando implantes cônicos de plataforma estendida para estabilidade e preservação óssea.
Procedimento Cirúrgico
A extração dos incisivos foi realizada de forma atraumática, seguida pela preparação dos alveólos e colocação dos implantes. Os espaços vestibulares entre os implantes e a parede óssea foram preenchidos com osso particulado, e enxertos gengivais semilunares foram posicionados sobre os enxertos ósseos. Coroas provisórias unidas foram preparadas e adaptadas, modificando o contorno conforme a cicatrização dos tecidos.
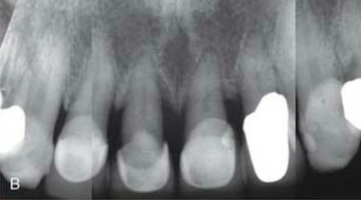
Resultados
Um ano após o procedimento, houve preservação da altura da papila interdental, aprimoramento do biótipo vestibular, e as margens gengivais estavam substancialmente mais coronárias, com um sorriso rejuvenescido. As radiografias mostraram preservação do osso interproximal. A paciente estava satisfeita, com desconforto pós-operatório mínimo e sem a necessidade de prótese removível.











