Nove a cada 10 casos de tratamentos cosméticos faciais ou corporais que deram errados e que tem destaque pela mídia apontam que foram usados o mesmo produto, o PMMA.
Muitos profissionais sentem arrepio só de ouvir falar.
Os pacientes que já fizeram tem um arrependimento mortal.
Por aí, pode ter vários nomes: Metacril, Linnea, todos indicando um mesmo “princípio ativo”: Polimetilmetacrilato.
OK, posso estar exagerando no pânico ao redor do produto, mas aparece muito mesmo e normalmente atribuído a problemas sérios, intercorrências tardias e várias complicações estéticas.
Mas acho importante entender de fato o que acontece com o uso do PMMA. E para isso vamos separar as coisas:
1. Uso do PMMA na medicina e odontologia
O Polimetilmetacrilado é utilizado desde 1937 anos dentro da odontologia. E com muito sucesso.
É o PRINCIPAL material para confecção de próteses dentárias totais ou removíveis, provisórios, placas de mordida e vários outros dispositivos que um profissional utiliza diariamente no consultório.

Alguém duvida que o PMMA pode ser utilizado com segurança e efetividade até hoje?
Além disso, este polímero tem várias propriedades biológicas interessantes. Ele é um material biocompatível, não-irritante, não tóxico, não carcinogênico. Ou seja, quando inserido dentro do organismo, não há uma reação de corpo estranho exagerada e o material fica lá, paradinho, cumprindo sua função.
Como por exemplo, substituindo a função de um osso no fechamento de um trauma em calota craniana. Como uma prótese interna de mandíbula, como era feito até os anos 90 e com sucesso muito grande.
Até hoje é também o material de eleição para várias outras próteses internas faciais, como ângulo de mandíbula ou malar, justamente por associar ótima resistência mecânica, durabilidade e facilidade de manipulação. Inclusive muitos cimentos ósseos tem o PMMA como base por conta destas características
Mas é bom entender que, para estas utilizações, o material tem uma função protética, de restaurar a função perdida por um dispositivo que simula uma área perdida (como o caso dos dentes, em uma dentadura, ou de um fragmento ósseo, em uma prótese interna). É um uso válido e coerente e não existe nenhuma polêmica para isso, concorda?

Cimento cirúrgico a base de PMMA para correção de sorriso gengival. Veja artigo completo.
Então de onde surgiram os problemas quando falamos de estética? Vamos chegar lá.
2. Uso Injetável do PMMA
Aqui as coisas complicam. Em dezembro de 2004, o Ministério da Saúde incluiu nas tabelas de procedimentos do SUS o preenchimento facial com PMMA para pacientes portadores de HIV com quadros de lipodistrofia.
Desde então o uso do PMMA para uma função de preenchimento começou a aparecer.
“Mas, que estranho, o material é rígido e é usado para próteses, como é feito o preenchimento?” Você está se perguntando. Simples:

Micro-esferas de PMMA que são associadas a algum gel para facilitar o uso com preenchedor injetável
Porque para esta função, micro-esferas de PMMA são associados a géis a base de colágeno bovino, carboximetilcelulose ou hidroxietilcelulose e ganham propriedades de um material injetável e que podem ter a função de volumizador ou preenchedor.
Entenda aqui que “volumizar” está sendo usado em um sentido amplo, não só em face, mas em qualquer parte do corpo. E estes procedimentos são chamados de forma bem genérica de “bioplastias”, e sempre teve uma atenção grande por parte do Conselho Federal de Medicina, que recomenda o uso deste produto com cautela e em pequenas quantidades, “pois em grandes volumes seu uso é inseguro e imprevisível, podendo causar reações incuráveis e definitivas”.
Veja que não estamos levantando aqui o uso de um produto “pirata” ou não regulamentado. Os preenchedores a base de PMMA têm regulamentação na Anvisa, podem ser comercializados e utilizados e são seguros dentro dos seus limites de uso, apesar de todas as polêmicas.
Então veja que a apresentação do produto (sólido/rigido versus injetável) faz uma enorme diferença do ponto de vista clinico.
Enquanto as próteses internas ou externas são seguras, efetivas e continuam sendo utilizadas, o PMMA injetável está em uma situação oposta: inseguro e imprevisível, e isso tem a ver com as características da molécula que compõe o material.
3. Qual a diferença em uma Prótese em PMMA e um Preenchimento Injetável de PMMA?
Acho que aqui é o aspecto principal a ser compreendido: o organismo responde diferente conforme a forma que o produto é apresentado.
Vamos pegar primeiro um exemplo de uma prótese em ângulo de mandíbula. Ela é feita em um monobloco, sólido, compacto, e é fixada através de parafusos na base óssea, ou seja, fica fixada em uma posição fixa independente da movimentação do tecido adjacente.
Nesta situação, o organismo reagem formando uma cápsula fibrosa, rica em colágeno, única e que circunda a prótese “isolando-a” do meio. Se, por uma eventualidade qualquer, acontece um quadro infeccioso, a ação é rápida: remove-se a prótese, entra com uma antibioticoterapia especifica e aguarda a normalização local. Simples assim. E a MESMA PRÓTESE pode ser recolocada depois de estabilizado o quadro infeccioso. Ou seja, apesar de ser um tratamento complexo, uma prótese interna oferece segurança no caso de uma complicação porque é um procedimento reversível.

Hoje o desenho das próteses internas são feitas digitalmente, mas o material de eleição em muitos casos é o PMMA. Aqui vemos o desenho de uma prótese de ângulo de mandíbula
Se levarmos em consideração o produto injetável, estaremos colocando através de um gel carreador milhares de pequenas esferas de polimetilmetacrilato dentro do tecido.
Mas estas esferas tem um tamanho bem calculado: são pequenas o suficiente para permitirem serem colocadas por uma agulha e um gel, mas são grandes demais para serem fagocitados pelas células presentes no tecido. Ou seja, uma vez injetadas no tecido, elas fica lá. Permanentemente.
Permanente porque o PMMA, ao contrário de outros materiais como o Ácido Hialurônico ou a Hidroxiapatita de Cálcio, ele não degrada, não é reabsorvido, não some com o passar do tempo.
E estando por lá, vão “provocar” de forma constante o tecido. Cada uma destas esferas vão fazer um estímulo local para que o tecido adjacente crie uma capsula fibrosa. Mas não uma ÚNICA capsula que envolve TODAS as esferas, mas sim milhares de cápsulas que envolvem milhares de pedaços do polímero.
Em essência, é a mesma reação que acontece: uma proteção do organismo para fazer com que aquele material não atrapalhe as funções das estruturas próximas. Até aí ok, é algo bom em um primeiro momento, traz colágeno para o tecido, devolve o volume perdido, e mantém um aspecto melhor, mas daí o preço começa ficar alto demais....
4. Sequelas e Formação de Granulomas
É importante falar que estas cápsulas de colágeno são causadas por uma ação do organismo chamada “reação de corpo estranho”. O nome é autoexplicativo: o organismo reage a um corpo estranho, ou seja, ao metracril inserido nele.
Então imagine a situação: milhares de esferas sendo combatidas a todo momento, induzindo reações de corpo estranho e que ficará por lá simplesmente porque o material não degrada. Chega uma hora que o organismo vai tentar formas mais efetivas de combater o material alienígena, criando um nódulo inflamatório ao redor daquele conjunto que não responde à nada, e esse nódulo é chamado de Granuloma.
Normalmente endurecido, resistente, eventualmente dolorido, os granulomas são respostas imunológicas exageradas do organismo a algo que ele não conseguem combater de forma regulamentar. E aqui está o problema.

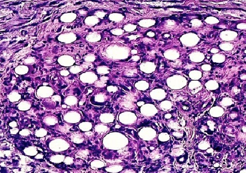
Imagem mostrando uma microscopia de uma área que se apresenta saudável e que recebeu PMMA injetável.
A maior parte das complicações do PMMA não dizem respeito ao peróodo inicial do tratamento, com 2 ou 3 anos, período que a resposta clinica é muito boa e tudo anda conforme o previsto.
Mas... (sempre tem um mas...) depois de 5, 10 anos com o material lá, chega uma hora que se inicia aquela reação inflamatória que é chamada de Reação Granulomatosa Tardia, e aí começam os problemas. Todas as esferas passam a integrar um nódulo palpável e endurecido que não tem reversão, ou seja, é algo permanente.
E aqui está todo o problema: este nódulo pode ficar lá, estável, ou pode ir aumentando de volume até criar quadros de assimetrias e defeitos faciais (ou onde quer que o material fora inserido), comprimir estruturas próximas e há necessidade de uma abordagem para conter estes efeitos.
4. Tratamentos e abordagens clínicas do Granuloma
Há duas principais abordagens. A mais corriqueira é controlar a inflamação e a multiplicação celular.
Esta abordagem envolve o uso de corticoides e outros medicamentos com finalidades inibitórias ao crescimento celular aplicados diretamente no granuloma. Os corticoides tem uma ação anti-inflamatória muito grande, então é uma tentativa de “reverter” o quadro e normalizar a situação toda, mas normalmente o paciente terá de fazer tratamentos periódicos para manter tudo em ordem, mesmo porque apesar de controlar a inflamação, o PMMA continua por lá e vai fazer o mesmo estímulo de sempre no tecido.
Muitas vezes essa terapeutica é tudo que é necessário para controlar o quadro, mas não é incomum necessitar realizar a remoção dos granulomas através de procedimentos cirúrgicos.
E aqui fica mais grave, porque dependendo do tamanho do nódulo, pode causar grandes defeitos locais, sequelas estéticas ou mesmo funcionais. Explicamos nesta aula sobre a formação de granulomas, vamos mostrar porquê e como tratar em casos de complicações. Vamos à aula:
5. Tratamentos preventivos
Já vimos que realmente o PMMA em sua versão injetável não é uma boa ideia para ser utilizado, mas é importante que o paciente que já realizou um tratamento com este produto inadvertidamente não se preocupe.
Já recebemos pacientes que, mesmo sem sintomatologia nenhuma, veio ao atendimento para “retirar” o material porque ouviu falar que causariam problemas. Penso que é uma situação de desespero por ignorância e desinformação em relação ao produto.
Não saberíamos informar em porcentagem qual a prevalência destes problemas, porque são informações não disponíveis na literatura científica. Do mesmo modo que só uma pequena parte dos pacientes possa ter quadros como os descritos, a grande maioria sequer vai notar diferenças ou alterações nas regiões que foram tratadas com este preenchedor permanente.
Então a chave aqui é acompanhar e intervir o mais precocemente quando há qualquer indício de formação de nódulos nas regiões preenchidas.
Mas não só isso. No desejo do paciente em continuar com tratamentos cosméticos de harmonização facial, por exemplo, o fato de já ter sido utilizado PMMA localmente deve ser informado ao profissional.
DEVE. Não é opcional. Para a proteção tanto do paciente como do profissional, que nesta situação deve direcionar seu planeamento de modo a não interferir com o metacril que estava lá previamente.
6. Pode dar errado fazer harmonização Facial ou Cirurgia plástica em pacientes com PMMA?
Muitos dos tratamentos que fazemos na Harmonização Facial provocam, intencionalmente, um quadro inflamatório, porque só há estímulo do colágeno se há inflamação local. Então sejam preenchedores a base de ácido hialuronico, sejam bioestimuladores como o Sculptra, Radiesse ou Elleva, até mesmo um simples agregado plaquetário, todos induzem uma inflamação, e uma inflamação exagerada é tudo que o PMMA quer para se converter em um granuloma ou agravar o quadro em algum nódulo já presente.
Então ao tratar um paciente com polimetilmetacrilado o importante é que seja avaliado os desejos, vontades e limites de cada tratamento para que seja executado de forma diligente entendendo as limitações profissionais da presença do material anterior.
Temos ótimos exemplos famosos no Brasil de pessoas que fizeram tratamentos extensos usando PMMA e, através de um planejamento cuidados, realizaram correções ou mesmo retratamentos utilizando materiais mais modernos e seguros, como o ácido hialurônico. Veja o caso da apresentadora Gretchen, ou a cantora Joelma, que nos anos 80/90 realizaram tratamentos com metacril e hoje já mostram por aí suas “novas versões” harmonizadas e felizes, sem sequelas.
O mais importante mesmo é a informação. HOJE, com foco estético, existem materiais de mais tecnologia, não encaramos o PMMA como sendo uma alternativa viável de tratamento (mesmo sendo aprovado pela Anvisa), preferimos optar por materiais mais previsíveis e reversíveis, como é o caso do ácido hialurônico ou outros bioestimuladores.
Mas não precisamos negar o tratamento a um paciente que o utilizou no passado, concorda? Um bom profissional saberá como realizar tratamentos seguros!
E se você quer entender todos os mistérios dos preenchedores faciais e dominar o uso clínico deste recurso incrível, acho que deveria conhecer este curso.


