Os fios de PDO têm se tornado uma verdadeira revolução na área da Harmonização Facial, oferecendo uma abordagem minimamente invasiva para o rejuvenescimento facial. Esses fios absorvíveis, feitos de polidioxanona, são inseridos na pele para promover o levantamento dos tecidos ptóticos e estimular a produção de colágeno, resultando em uma aparência mais jovem e revitalizada.
No entanto, surge a pergunta: como os fios de PDO funcionam na presença do ácido hialurônico? O ácido hialurônico é amplamente utilizado como substância de preenchimento dérmico, oferecendo resultados notáveis na redução de rugas e restauração de volume facial. A associação desses dois tratamentos estéticos promissores tem despertado interesse na área da Harmonização Facial.
A combinação de fios de PDO com ácido hialurônico traz benefícios complementares. Enquanto os fios de PDO promovem o levantamento dos tecidos e estimulam a produção de colágeno, o ácido hialurônico preenche sulcos e rugas, restaurando o volume e a hidratação da pele. Essa sinergia entre os dois tratamentos pode potencializar os efeitos rejuvenescedores, proporcionando resultados mais duradouros e satisfatórios para os pacientes.
Estudos e relatos de casos têm demonstrado a eficácia dessa combinação. Mas será que presença do ácido hialurônico nos tecidos adjacentes aos fios de PDO acelera a biodegradação, ou hidrólise dos fios de PDO?
É sobre essa importante intersecção que se debruça o trabalho a seguir, de autoria de Eliane Trevisan. Realizado como requisito para a obtenção do título de Especialista em Harmonização Facial pelo renomado Instituto Velasco, você lê na íntegra a seguir:
INTRODUÇÃO
A Harmonização Orofacial (HOF) popularizou-se rapidamente nos últimos anos, oferecendo melhorias estéticas rejuvenescedoras e intensificadoras que antes só eram possíveis com a cirurgia, mas a um custo mais baixo e com tempo de recuperação limitado ou nulo. O avanço do mercado estético está diretamente relacionado ao aumento da expectativa de vida, visto que os padrões de beleza reforçam cada vez mais a necessidade de desacelerar os sinais do envelhecimento, aumentando a busca por procedimentos estéticos.
O lifting facial para corrigir o envelhecimento facial tem sido, até agora, um procedimento elaborado e complicado, que leva muito tempo para se recuperar, e a introdução de suturas farpadas absorvíveis pode ser uma boa alternativa a procedimentos mais invasivos.
O uso dos fios de sustentação facial consiste em um método minimamente invasivo, indolor, de caráter ambulatorial, com anestesia local e efeito imediato. É uma das poucas opções de procedimentos alternativos aos mais invasivos com a capacidade de reposicionar os tecidos, além das características citadas anteriormente. Há diversos tipos de fios de sustentação no mercado, mas os fios de polidioxanona (PDO) são os mais eficazes para fins estéticos atualmente.


A polidioxanona é um monofilamento sintético absorvível derivado do poliéster, sendo produzido na forma monofilamentar, tendo uma resistência intermediária similar ao náilon, com força relativamente elevada, maleável e tenaz. É um polímero não alergênico e não piogênico. O fio de PDO apresenta na avaliação histológica pouca reação de corpo estranho, obtendo também 20% mais de resistência do que fios absorvíveis trançados, tendo com isto mais lentidão na degradação e preservando sua resistência, demonstrando 70% de sua força de tensão.
Dois tipos de procedimentos podem ser realizados com fios PDO: criação de um MESH e procedimento de levantamento. Entre as indicações faciais dos fios de PDO, no terço superior podem ser citadas as rugas frontais, as rugas glabelares, a suspensão dos supercílios e a flacidez periocular; já no que se refere ao terço médio: a suspensão do malar, a suspensão nasal, linhas de coelho ou nariz do coelho, o sulco nasogeniano, a região periorbicular, os pés de galinha; no tocante ao terço inferior: o reposicionamento dos tecidos mandibulares com redefinição de ângulo da mandíbula, sulco lateral-mentual, na linha da mandíbula, as rugas periorais do código de barras e a bioestimulação de colágeno facial.
Os fios também podem ser utilizados em ambiente ambulatorial, de relativa facilidade técnica. O menor período de recuperação pós-procedimento é uma das justificativas da busca pelos tratamentos minimamente invasivos, incluindo o uso dos fios de dermosustentação.
Com a introdução dos fios absorvíveis, feitos de polidioxanona (PDO), o lifting com fios voltou a ganhar interesse e popularidade entre diversas indústrias que produzem diversos tipos com diversas técnicas, seja para rejuvenescimento e/ou lifting da pele. O lifting com fios não é uma alternativa à cirurgia nem mágica, mas pode trazer bons resultados para rejuvenescimento e lifting da pele, principalmente quando combinado com outro método de rejuvenescimento facial. Esse fio de sutura permanece nos tecidos o tempo necessário para que se inicie a nova formação de colágeno. Após sua inserção, é absorvido por hidrólise em cerca de seis meses.
A colocação dos fios de sustentação de PDO envolve a passagem de suturas sob a pele da face e do pescoço para compensar a queda e a flacidez dos tecidos, além de estimular a produção de colágeno e elastina na região, retardando assim o processo de envelhecimento da pele.
O ácido hialurônico (AH) é um polissacarídeo que pertence à família dos glicosaminoglicanos e é constituído por uma unidade básica de dois açúcares, o ácido glucurônico e a N-acetil-glucosamina. O AH geralmente existe como uma massa molecular elevada no líquido sinovial que envolve as articulações, cartilagem e tecidos do olho e da pele.
Associar o ácido hialurônico em preenchimentos com os fios é uma técnica opcional no tratamento do rejuvenescimento cutâneo. Estas variam de acordo com a necessidade do paciente e a avaliação correta dos músculos faciais comprometidos no envelhecimento facial, colaborando para resultados instantâneos e satisfatórios.
Muitos estudos histopatológicos indicaram reação de corpo estranho dérmica e subcutânea após a inserção do fio, nas formas de infiltração de linfócitos, deposição de colágeno e fibrose. Esta fibrose poderia explicar o efeito de aperto ao longo da contratura, remodelação e posterior endurecimento da pele.
Recentemente, alguns clínicos propuseram a implantação de fios de polidioxanona (PDO) embebidos em AH, argumentando que isso pode reforçar os efeitos de lifting. No entanto, isso é controverso porque as suturas PDO são hidrofílicas e a presença de AH pode aumentar a taxa de hidrólise.
OBJETIVO
O objetivo deste trabalho foi realizar um levantamento da literatura sobre a degradação de fios de PDO em ácido hialurônico, mostrando a interação dos dois materiais.
REVISÃO DE LITERATURA
O uso de uma sutura farpada para levantar tecidos faciais ptóticos (“lifting de fios”) foi introduzido no final dos anos 1990 por Sulamanidze e colaboradores. Este procedimento envolveu a colocação subcutânea de suturas farpadas ao longo de trajetórias específicas para levantar e prender o tecido ptótico e foi anunciado como um procedimento minimamente invasivo, com recuperação rápida e resultados que se aproximaram de um lifting facial cirúrgico, mas com menos complicações, tempos de inatividade mais curtos, custos reduzidos e maior comodidade para o médico e para o paciente. Devido às complicações relatadas com suturas farpadas inabsorvíveis, houve uma mudança para material de sutura absorvível. Foi relatado que os fios de polidioxanona (PDO) produzem um efeito imediato de levantamento de tecido secundário à ação mecânica de inserção e fixação do fio e, apesar de serem naturalmente degradados em 4-6 meses, estimulam o colágeno tipo 1 e o fator de crescimento transformador β1 (TGF-β1).
Ali (2017) avaliou o resultado de dois anos de lifting com fios absorvíveis farpados para rejuvenescimento facial. O estudo comparativo prospectivo, tanto objetivo quanto subjetivo, e a avaliação de acompanhamento por 24 meses, mostraram que o lifting com fios para rejuvenescimento facial tem efeitos duradouros significativos, que incluem levantamento da pele de 3 a 10 mm e alto grau de satisfação dos pacientes com menor taxa de incidência de complicações, cerca de 4,8%.
A primeira experiência da conjugação de um fio de sutura com ácido hialurônico foi publicada por Sudhir et al. (2018), que avaliaram a eficácia de suturas de seda e suturas de ácido poliglicólico tratadas com ácido hialurônico para reduzir a colonização bacteriana.
De acordo com Wu (2019), a primeira premissa para o sucesso é que os fios devem ser inseridos e fixados adequadamente, utilizando uma técnica cirúrgica totalmente estéril. Por causa da moda em torno do lifting de fios como um procedimento não cirúrgico, de estilo de vida e de consultório na hora do almoço, há médicos que tratam a aplicação de fios como um procedimento menor, com esterilidade apenas simbólica. Como resultado, infecções e granulomas podem ocorrer.
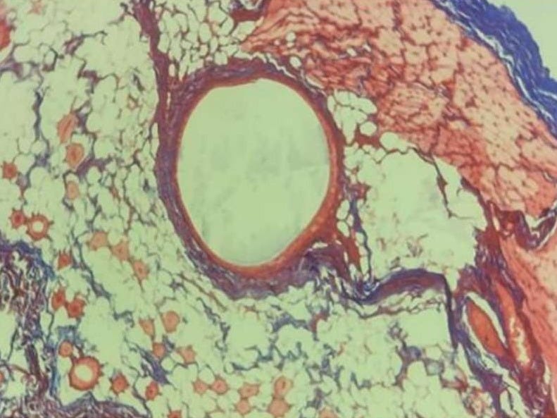
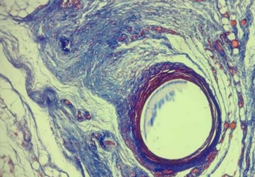
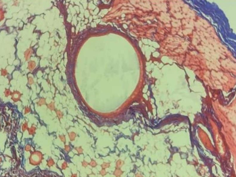
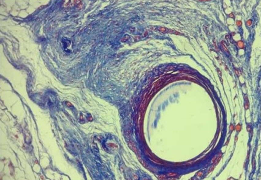
Suárez-Veja et al. (2019) demonstraram a degradação dos fios de sustentação de PDO em AH por meio de ultramicroscopia. Foi uma pesquisa qualitativa e ensaio pré-clínico. O AH não reticulado é um poderoso agente catalisador da degradação hidrolítica do fio de PDO, pois esse fio é altamente hidrofílico. Clinicamente, a incorporação de fios PDO em AH acelera a biodegradação da sutura.




Em outro estudo de Suaréz-Veja et al. (2019), os autores relataram um caso de uma paciente com complicações decorrentes da implantação superficial de fios espiculados de polidioxanona no terço médio facial.
De acordo com Jung (2019), a polidioxanona dissolve-se gradualmente e induz o aumento da produção de colágeno tipo III, enquanto que os resultados do ácido hialurônico causam o aumento de glicosaminoglicanos, auxiliando na retenção da forma por um período prolongado, geralmente por mais de um ano.
Oh e Lee, em 2020, descreveram o uso de fios de polidioxanona (PDO) e preenchimento de ácido hialurônico para corrigir um nariz achatado e largo em duas mulheres coreanas.
Albuquerque et al. (2021) realizaram uma revisão de literatura acerca do lifting facial não cirúrgico com fios de PDO, abordando os diferentes tipos, suas indicações, a degradação no organismo, plano de inserção, contraindicações, vantagens e possíveis complicações.
Santarosa et al. (2021) fizeram uma revisão de literatura abordando informações de forma a esclarecer e detalhar a eficácia do uso de lifting facial com fios de polidioxanona, associado ao ácido hialurônico, e oferecer uma melhor compreensão do envelhecimento cutâneo.
Martins e Moraes (2021) realizaram um estudo comparativo entre o uso do ácido hialurônico e os fios PDO para o procedimento estético de rinomodelação.
Caysset e Cavallini (2022) apresentaram o caso de um homem de 60 anos, acometido por carcinoma ductal de glândula parótida, submetido à parotidectomia total direita, que levou à hemiparesia do lado direito da face, exigindo um tratamento de quatro sessões que incluiu preenchedor e fios de PDO.
Stivanin et al. (2022) relataram em um caso clínico a abordagem do envelhecimento facial a partir da utilização de fios de sutura de polidioxanona (PDO) associados ao preenchimento dérmico com ácido hialurônico.

Del Cueto (2022) realizou um estudo da associação entre PDO e AH, uma vez que tratamentos isolados raramente são realizados em estética, sendo mais comum a sua combinação com outras técnicas.
Alves (2022) avaliou, em modelo animal, o benefício do uso dos fios de sustentação em um estudo experimental de caso-controle, randomizado, em ratos de laboratório. Foi concluído que os fios de PDO apresentaram melhores resultados que os fios de PLA em todos os grupos e, quando associado o uso de AH aos fios de sustentação, ocorre uma potencialização para a formação de colágeno.




DISCUSSÃO
Existem muitos benefícios dos fios de PDO: facilidade de manuseio, curto período de tempo de procedimento e o aumento do volume preciso. Outro benefício é que ele distribui a força ao longo de todo o seu comprimento, diferente de qualquer dispositivo com o mesmo mecanismo de ancoragem que não possui essa característica. Apesar de a aplicação dos fios de PDO ser geralmente um procedimento seguro, minimamente invasivo, eficaz e ter apresentado bons resultados e menos complicações, elas ainda podem acontecer.
Segundo Wu (2018), é indiscutível que os fios de sustentação, sejam solúveis ou permanentes, podem criar um levantamento e modelagem dos tecidos moles faciais. É apenas a duração do efeito ou a longevidade do resultado que é constantemente questionada. A associação dos Fios de Sustentação de PDO com ácido hialurônico é um protocolo clínico que afirma potencializar os efeitos de skinbooster.
Depois que o fio é inserido, o organismo o reconhece e estabiliza através de mecanismos que envolvem infiltração linfocitária, deposição de colágeno e uma reação fibrótica em torno do biomaterial. Portanto, o efeito lifting nos tecidos flácidos se deve a caminhos fibróticos organizados durante a permanência do fio e ao caminho residual após a reabsorção da sutura.
CONCLUSÃO
O presente trabalho concluiu que o ácido hialurônico não reticulado poderia ser indicado para resolver complicações decorrentes da colocação de fios de polidioxanona em planos muito superficiais, cumprindo o duplo objetivo de acelerar a biodegradação do fio e induzir a regeneração do tecido ao redor da sutura.
REFERÊNCIAS BIBLIOGRÁFICAS
Albuquerque LV, et al. Lifting facial com fios de polidioxanona. Odontol Clín Cient. 2021 Mar;20(1):39-45.
Ali YH. Two years’ outcome of thread lifting with absorbable barbed PDO threads: Innovative score for objective and subjective assessment. J Cosmet Laser Ther. 2018;20(1):41-9.
Alves FL. Avaliação histológica do uso de diferentes tipos de fios de sustentação associados ao ácido hialurônico na estimulação de colágeno [Trabalho de Conclusão de Curso]. Palhoça: Universidade do Sul de Santa Catarina; 2022.
Barroso LDP. Intercorrências em Harmonização Orofacial: uma revisão de literatura [monografia]. São Luís: Centro Universitário Unidade de Ensino Superior Dom Bosco; 2021.
Boeing DSC, Polak JRPI, Setubal MM, Silva APFF, Ziroldo S. Fios absorvíveis de polidioxanona para procedimentos estéticos de rejuvenescimento da face – relato de caso. Simmetria Orofac Harmoniz Scien. 2021;3(9):2-10.
Claysset B, Cavallini M. Combined Protocol for Restoration and Repositioning of Natural Volumes of the Face in a Patient with Peripheral Hemiparesis of Right Facial Side. Int J Clin Stud Med Case Rep. 2021;18(1):1-2.
Cobo R. Use of Polydioxanone Threads as an Alternative in Nonsurgical Procedures in Facial Rejuvenation. Facial Plast Surg. 2020 Aug;36(4):447-52.
Custódio ALM, et al. SMAS e Ligamentos da face - Revisão anatômica. Aesth Oralfac Sci. 2021;2(2):4049.
Del Cueto ESR. Hilos pdo en el tratamiento combinado con técnicas de Medicina Estética. Med Estét. 2022;44:50-52.
Jeong TK, Chung CH, Min KH. Multi-modal treatment strategy for achieving an aesthetic lower face. Arch Plast Surg. 2020 May;47(3):256-62.
Martins NG, Moraes NE. Estudo comparativo entre o uso de ácido hialurônico e fios de polidioxanona na rinomodelação [monografia]. Pouso Alegre: Faculdade UNA - Unidade Pouso Alegre; 2021.
Oh W, Lee W. Non-Surgical Rhinoplasty with Polydioxanone Threads and Hyaluronic Acid Filler to Treat a Widened Nose after Repeated Injections of Hyaluronic Acid Filler. Aesthet. 2020;1(1):8-16.
Pedron IG, Cavalcanti RR, Silva LPN, Shitsuka C. Possible Risks of Using Hyaluronidase in Complications Caused by Hyaluronic Acid in Dentistry. Scient Arch Dental Scien. 2020;3(6):16-18.
Santarosa C, Santarosa L, Berro EC, Oliveira RCF. Fios de polidioxanona associado com ácido hialurônico para rejuvenescimento. Rev Ciênc Inova – FAM. 2021 Out;6(1):41-6.
Santos IM. Uso de fios de sustentação de polidioxanona (PDO) associado ou não ao uso de ácido hialurônico: uma revisão literária [trabalho de conclusão de curso]. Tubarão: Universidade do Sul de Santa Catarina; 2020.
Savoia A, Accardo C, Vannini F, Di Pasquale B, Baldi A. Outcomes in thread lift for facial rejuvenation: a study performed with happy lift™ revitalizing. Dermatol Ther (Heidelb). 2014 Jun;4(1):103-14.
Silva SR, Souza MS, Sousa DM. Uso facial de fios de PDO e complicações pós tratamento estético. Aesth Oralfac Sci. 2022;3(3):63-71.
Spring LK, Callaghan DJ. Update on Thread-lifting. Advanc Cosmetic Surg. 2020;3(1):165-71.
Stivanin DMB, Carrera ET, Vieira EAC, Vieira PGM. Fios de sustentação facial, preenchimento dérmico e eletrocautério na Harmonização Orofacial: relato de caso clínico. Aesth Oralfac Sci. 2022;3(2):8-17.
Suárez-Veja D, Velazco de Maldonado G, García-Guevara V, Miller-Kobisher B, Morena-López K. Microscopic and clinical evidence of the degradation of polydioxanone lifting threads in the presence of hyaluronic acid: a case report. Medwave. 2019 Jan 31;19(1):e7575. (a)
Suárez-Veja DV, Velazco de Maldonado GJ, Ortíz RL, García-Guevara VJ, Miller-Kobisher B. In Vitro Degradation of Polydioxanone Lifting Threads in Hyaluronic Acid. J Cutan Aesthet Surg. 2019 Apr-Jun;12(2):145-8. (b)
Tavares JP, Oliveira CACP, Torres RP, Bahmad F Jr. Facial thread lifting with suture suspension. Braz J Otorhinolaryngol. 2017 Nov-Dec;83(6):712-9.
Wu WTL. Commentary on: Effectiveness, Longevity, and Complications of Facelift by Barbed Suture Insertion. Aesthet Surg J. 2019 Feb 15;39(3):248-53.














