As cicatrizes são marcas que contam histórias, mas nem sempre são bem-vindas, especialmente quando se tornam proeminentes e causam desconforto físico e estético. Quando o processo de cicatrização não ocorre como esperado, podem surgir as cicatrizes hipertróficas e os queloides, condições que afetam significativamente a qualidade de vida de muitas pessoas.
Compreender as diferenças entre elas, os mecanismos de sua formação e as estratégias mais eficazes para prevenção e tratamento é fundamental para profissionais da saúde que atuam na área da estética.
O texto a seguir é uma adaptação do trabalho de conclusão de curso de Margareth Tizue Miura Makiyama, apresentado para a obtenção do título de Especialista em Harmonização Orofacial pelo Instituto Velasco.
A existência de cicatrizes do tipo queloide foi mencionada inicialmente na descrição do primeiro tratado cirúrgico da antiga prática médica egípcia (Mamado, 1930; Berstein e Roenigk, 1996). Jean Louis Alibert (1780) descreveu pela primeira vez cicatrizes semelhantes a tumores, as quais ele denominou inicialmente como cancro e, posteriormente, passaram a ser denominadas queloides.
As cicatrizes hipertróficas, assim como os queloides, são resultantes de alterações nos processos normais de cicatrização cutânea da ferida, caracterizadas pela proliferação de tecido dérmico com deposição excessiva de proteínas da matriz extracelular derivada do fibroblasto, especialmente colágeno, em função do processo inflamatório e fibrose persistentes.
A formação de cicatrizes anormais é uma das reações mais indesejadas e frustrantes decorrentes de lesões na pele. À medida que as técnicas cirúrgicas e estéticas atuais se tornam cada vez mais padronizadas e os resultados mais previsíveis, uma boa cicatrização pode ser a linha de demarcação entre resultados estéticos aceitáveis e inaceitáveis.
Contudo, as cicatrizes hipertróficas e queloides continuam sendo difíceis de erradicar devido às altas taxas de recorrência e à incidência de efeitos colaterais associados aos métodos de tratamento disponíveis. Esta revisão explora alguns métodos de tratamento descritos na literatura, incluindo as práticas padrão e alguns métodos emergentes, além de medidas profiláticas.
Objetivo
Este trabalho tem como objetivo descrever os mecanismos de formação de uma cicatrização fisiológica e da cicatrização inestética, focando principalmente nas cicatrizes hipertróficas e queloides, bem como suas respectivas formas de prevenção e terapêuticas restritas à área de atuação do cirurgião-dentista na especialidade da Harmonização Orofacial.
Revisão Literária
Processo Inflamatório na Cicatrização Normal
A cicatrização é um processo complexo que resulta na formação de um novo tecido para o reparo de uma solução de continuidade. Uma evolução normal durante as fases de cicatrização em um indivíduo hígido geralmente determina uma cicatriz final com bom aspecto estético e funcional. Para Wang et al. (8), qualquer interferência nesse processo pode levar à formação de cicatrizes de má qualidade. Os mecanismos subjacentes da cicatrização de feridas são bastante complexos, sendo o processo inflamatório um dos fatores determinantes. Além do seu papel no combate à infecção, as características e o grau da inflamação têm forte impacto na patogênese da cicatriz.
A primeira etapa do processo se inicia imediatamente após a lesão, ocorrendo a vasoconstrição e a hemostasia a partir de uma reação em cascata com a formação de coágulos. Na segunda etapa, através das plaquetas ativadas, os tecidos danificados desencadeiam uma resposta inflamatória com a mediação de células como neutrófilos e macrófagos, fazendo com que ocorra uma diminuição do processo inflamatório, neoformação de vasos sanguíneos e tecidos conjuntivos, marcando o início da terceira fase, denominada proliferativa. Na quarta fase (maturação tecidual), ocorre a etapa de remodelação, regressão na angiogênese e uma reconstituição da matriz extracelular (MEC), resultando em fibrilas organizadas de colágeno que fornecem a base da cicatrização normal. Cada fase do processo de cicatrização requer uma sincronização e regulação intrínseca de múltiplas células. Qualquer intercorrência ou alteração nessa fase poderá ocasionar a formação de cicatrizes exacerbadas ou inestéticas, como as cicatrizes hipertróficas e os queloides.

Cicatrizações Patológicas ou Inestéticas
Os mecanismos de formação das cicatrizes hipertróficas e queloides ainda não foram completamente compreendidos. Contudo, muitos estudos têm demonstrado que a intensidade inflamatória está diretamente relacionada à modulação da síntese de colágeno e ao tamanho final da cicatriz.
Cicatrização Hipertrófica
Segundo Barone, N (2021), as cicatrizes hipertróficas surgem geralmente em torno de 30 dias e tendem a crescer durante um período de aproximadamente 6 meses. Após esse período, tendem a se estabilizar ou regredir dentro de um prazo de até doze meses. Diferentemente dos queloides, as cicatrizes hipertróficas se mantêm dentro dos limites da lesão inicial e não têm um local anatômico predominante, mas normalmente ocorrem em áreas de alta tensão.
De acordo com Rabelo, F.B. (2014), cicatrizes hipertróficas são definidas como cicatrizes visíveis e elevadas que não se espalham em tecidos circundantes e muitas vezes regridem espontaneamente. As cicatrizes hipertróficas, assim como os queloides, são diagnosticadas clinicamente e apresentam-se como uma lesão avermelhada, elevada и pruriginosa.
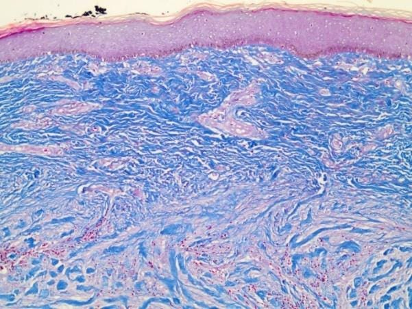
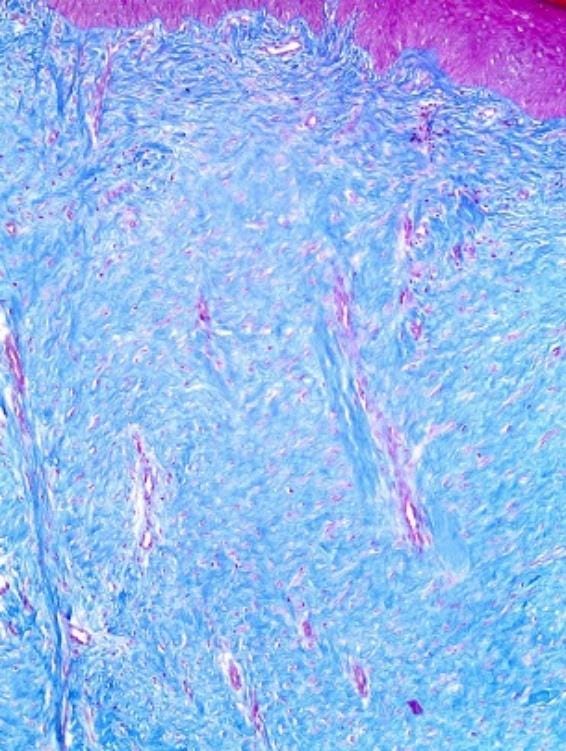
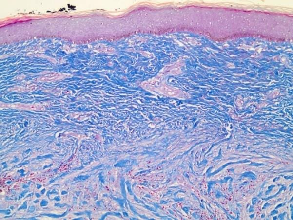
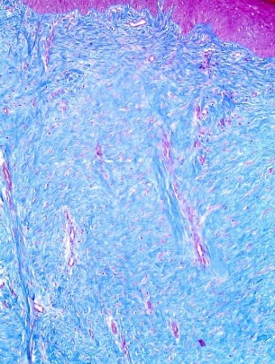
Histologicamente, a camada epidérmica da cicatriz hipertrófica e dos queloides tende a ser normal. Contudo, as alterações patológicas ocorrem na camada dérmica reticular, onde há deposição excessiva de fibras de colágeno e aumento da vascularização, achatamento da epiderme e substituição da derme por fibras finas de colágeno organizadas em um padrão regular ondulado, com orientação paralela em relação à epiderme e os vasos com orientação vertical. Apresentam uma maior abundância de colágeno tipo I e III em comparação com o tecido normal, mas há uma proporção aumentada de colágeno tipo III para I e níveis aumentados de proteoglicanos de baixa densidade.
Queloide
De acordo com Barone, N (2021), os queloides geralmente surgem no prazo de 3 a 12 meses após traumas cutâneos em indivíduos predispostos. Eles ocorrem mais comumente nos lóbulos da orelha, peito, ombros, parte superior das costas, pescoço posterior, bochechas e joelhos. Essas cicatrizes são caracterizadas pela proliferação do tecido dérmico, com deposição excessiva de proteínas extracelulares derivadas do fibroblasto (MEC) e, especialmente, colágeno, por longos períodos, inflamação persistente e fibrose.
Em contraste com as cicatrizes hipertróficas, os queloides continuam a evoluir ao longo do tempo, sem uma fase quiescente ou regressiva, infiltrando-se no tecido circundante. Os queloides têm consistência firme, elevada e com uma superfície brilhante. As lesões iniciais são eritematosas, não possuem folículos pilosos nem glândulas e, geralmente, se projetam acima do nível da pele circundante. Os queloides são compostos principalmente de feixes de colágeno anormalmente espessos, irregularmente ramificados, sem nódulos e com excesso de miofibroblastos. Além disso, os queloides não completam a fase de remodelação tecidual como ocorre na cicatriz hipertrófica.

Para Ogawa et al. (10), alguns fatores de risco sistêmicos, como a adolescência e a gravidez, parecem estar associados a um maior risco de desenvolver cicatrizes patológicas. Isso está provavelmente relacionado aos hormônios sexuais, como estrogênios e andrógenos, que têm ação vasodilatadora que intensifica a inflamação, promovendo assim o desenvolvimento patológico da cicatriz ou piorando as cicatrizes existentes. Pesquisas indicam que a incidência de queloides sem origem traumática aumenta repentinamente em torno dos 10 anos de idade. Dessa forma, supõe-se que o aumento dos níveis de hormônios sexuais no início da adolescência seja responsável pelo maior risco de desenvolvimento de cicatrizes patológicas em adolescentes. A maioria dos indivíduos que desenvolvem cicatrização hipertrófica e queloides são jovens, com idades entre 10 e 30 anos. Os idosos raramente desenvolvem essas lesões. Os queloides são mais comuns em pacientes com pele mais escura, com incidência de 4,5% a 16% nas populações negra e hispânica.
Prevenção e Tratamento
Prevenção
Há evidências sugerindo que o aumento da tensão mecânica pode iniciar a formação de uma cicatriz hipertrófica. Com base nessa hipótese, faz sentido minimizar forças mecânicas decorrentes de procedimentos que ocasionem uma solução de continuidade. As cicatrizes decorrentes de excisão cirúrgica devem ser posicionadas no sentido de menor tração cutânea, mantendo as linhas ou pontos de tensão cutânea relaxadas sempre que possível.
A inflamação também é conhecida por contribuir para cicatrizes hipertróficas, e todas as tentativas de minimizar a resposta inflamatória devem ser feitas com o objetivo de prevenir infecções, além do uso de materiais menos traumáticos durante os procedimentos.
Tratamento
Inúmeros métodos foram descritos para o tratamento de cicatrizes anormais, mas, até o momento, o método de tratamento ideal não foi estabelecido. Uma variedade de tratamentos tem sido defendida para a cicatrização hipertrófica com o principal objetivo de diminuir a síntese exacerbada de colágeno. A seguir, alguns dos tratamentos mais comumente utilizados passíveis de utilização na face.
Corticosteroides Tópicos e Intralesionais
Um dos tratamentos de primeira linha para cicatrização hipertrófica e queloides são as injeções de corticosteroides intralesionais, muitas vezes também feitas em combinação com fitas de silicone. Os esteroides têm propriedades anti-inflamatórias, antiproliferativas, imunossupressivas e vasoconstritivas que podem ajudar a reduzir a dor e o prurido. Esteroides reduzem a síntese de colágeno e glicosaminoglicano, inibem a proliferação de fibroblastos e causam degeneração de colágeno e fibroblastos. O uso de corticosteroides intralesionais permite a obtenção de uma maior concentração de esteroides no local da cicatriz, fazendo com que ocorra uma menor absorção sistêmica. Para a terapia intralesional, preconiza-se a aplicação de triancinolona a uma dose de 10 a 40 mg/ml a cada 4 a 6 semanas.
Gel e Fita de Silicone
A fita de silicone pode ser usada para proporcionar estabilização mecânica passiva e, assim, ajudar a mitigar o potencial de crescimento da cicatriz e incentivar a cicatrização normal. A fita de gel de silicone é uma folha macia, autoadesiva e semioclusiva que contém silicone de grau médico reforçado em um apoio de membrana de silicone. A redução da cicatriz ocorre através da oclusão e hidratação da camada externa da epiderme, gerando eletricidade estática. A utilização da fita de silicone deve ser iniciada aproximadamente duas semanas após o tratamento da ferida primária, e deve ser mantida o máximo de tempo possível por dia, durante no mínimo dois meses. Em áreas do corpo onde se torna difícil a aplicação da fita, o gel de silicone é uma alternativa, uma vez que apresenta um mecanismo de ação semelhante.
Laserterapia
A laserterapia é outra modalidade utilizada para o tratamento. Geralmente, é considerada uma opção de segunda ou terceira linha para o tratamento de cicatrizes hipertróficas e queloides após insucesso da fita de silicone ou esteroides intralesionais. Recentemente, foi publicada uma revisão sistemática avaliando tratamentos a laser para características específicas de cicatrizes hipertróficas e queloides. Os lasers utilizados como modalidades de tratamento incluíam lasers de luz pulsada (PDLs) 585 e 595 nm, CO₂ fracionado e lasers ER:YAG 2940 nm.
Terapia de Pressão
A terapia de pressão é teorizada para reduzir a perfusão sobre a lesão, resultando em liberação atenuada de citocinas inflamatórias e redução da síntese de colágeno. Além disso, acredita-se que a aplicação da pressão aumente a apoptose, diminuindo a angiogênese e também contribuindo para a redução da formação patológica da cicatriz.
Conclusão
Até a presente data, não existe um protocolo único acerca dos tratamentos das cicatrizações patológicas. Dessa forma, é fundamental que o profissional conheça a fisiologia da cicatrização normal и saiba identificar precocemente qualquer alteração nesse processo cicatricial, pois quanto mais precoce o diagnóstico, melhor o prognóstico. Uma biópsia deve ser realizada para diagnósticos diferenciais em casos de suspeita de doença maligna. A injeção de esteroides deve ser realizada somente após cuidadosa consideração. Como medida de prevenção, mais especificamente na Harmonização Orofacial, recomenda-se a utilização de instrumentais de menor abrasão, assim como o uso de cânulas ao invés de agulhas e, principalmente, executar os procedimentos de forma menos traumática e com menor grau de manipulação.
Referências Bibliográficas
Rodrigues M, Kosaric N, Bonham CA, Gurtner GC. Cicatrização de feridas: uma perspectiva celular. Physiol Rev. 2019;99:665-706.
Atiyeh BS. Gerenciamento não cirúrgico de cicatrizes hipertróficas: terapias baseadas em evidências, práticas padrão e métodos emergentes. Aesthet Plast Surg. 2007;31(5):468-92.
Lee HJ, Jang YJ. Entendimentos recentes da biologia, profilaxia e estratégias de tratamento para cicatrizes hipertróficas e queloides. Int J Mol Sci. 2018;19(3):E711.
Eishi K, Bae SJ, Ogawa F, Hamasaki Y, Shimizu K, Katayama I. Silicone gel sheets relieve pain and pruritus with clinical improvement of keloid: possible target of mast cells. J Dermatolog Treat. 2003;14(4):248-252.
Atiyeh BS. Gestão não-cirúrgica de cicatrizes hipertróficas: terapias baseadas em evidências, práticas padrão e métodos emergentes. Aesthet Plast Surg. 2007;31(5):468-492.
Inglês RS, Shenefelt PD. Keloids e cicatrizes hipertróficas. Dermatol Surg. 1999;25(8):631-8.
Anzarut A, Olson J, Singh P, Rowe BH, Tredget EE. A eficácia da terapia de vestuário de pressão para a prevenção de cicatrizes anormais após lesão por queimadura: uma meta-análise. J Plast Reconstr Aesthet Surg. 2009;62:77-84.
Wang J, Hori K, Ding J, Huang Y, Kwan P, Ladak A, et al. Receptores semelhantes a pedágio expressos por fibroblastos dérmicos contribuem para cicatrizes hipertróficas. J Cell Physiol. 2011;226(5):1265-73.
Arno AI, Gauglitz GG, Barret JP, Jeschke MG. Abordagem atualizada para gerenciar queloides e cicatrizes hipertróficas: um guia útil. Burns. 2014;40(7):1255-1266.
Ogawa R, Akita S, Akaishi S. Diagnóstico e tratamento de queloides e cicatrizes hipertróficas-Japão Scar Workshop Documento de Consenso 2018. Trauma de queimaduras. 2019;7:39.
Berman B, Maderal A, Raphael B. Keloids e cicatrizes hipertróficas: fisiopatologia, classificação e tratamento. Dermatol Surg. 2017;43(Suppl 1):S3-S18.
Ghazawi FM, Zargham R, Gilardino MS, Sasseville D, Jafarian F. Insights sobre a fisiopatologia de cicatrizes hipertróficas e queloides: como eles diferem? Adv Skin Wound Care. 2018;31(1):582-595.
Carswell L, Borger J. Hypertrophic Scarring Keloids. Treasure Island, FL: StatPearls; 2021.
Gholizadeh N, Sadrzadeh-Afshar MS. Injeção de Corticosteroide Intralesional como um método de tratamento eficaz para lesões bucais: uma meta-análise. Braz J Pharm Sci. 2020;56:e56.
Boyadjiev C, Popchristova E, Mazgalova J. Histomorphologic changes in keloids treated with Kenacort. J Trauma. 1995;38(2):299-302.
Frangogiannis N. Transforming growth factor-β in tissue fibrosis. J Exp Med. 2020;217(3):e20190103.
Bayat A, Arscott G, Ollier WE, McGrouther DA, Ferguson MW. Keloid disease: clinical relevance of single versus multiple site scars. Br J Plast Surg. 2005;58(1):28-37.
Firooz A, Teerachi-Nia Z, Ahmed AR. Benefícios e riscos de injeção de corticosteroide intralesional no tratamento de doenças dermatológicas. Clin Exp Dermatol. 1995;20(5):363-370.
Eishi K, Bae SJ, Ogawa F, Hamasaki Y, Shimizu K, Katayama I. Silicone gel sheets relieve pain and pruritus with clinical improvement of keloid: possible target of mast cells. J Dermatolog Treat. 2003;14(4):248-252.
Reiffel RS. Prevention of hypertrophic scars by long-term paper tape application. Plast Reconstr Surg. 1995;96(7):1715-1718.
Tollefson TT, Kamangar F, Aminpour S, Lee A, Durbin-Johnson B, Tinling S. Comparison of effectiveness of silicone gel sheeting with microporous paper tape in the prevention of hypertrophic scarring in a rabbit model. Arch Facial Plast Surg. 2012;14(1):45-51.
Gold MH, McGuire M, Mustoe TA, et al. Recomendações clínicas internacionais atualizadas sobre gerenciamento de cicatrizes: parte 2 - algoritmos para prevenção e tratamento de cicatrizes. Dermatol Surg. 2014;40(8):825-831.
Aarabi S, Bhatt KA, Shi Y, Paterno J, Chang EI, Loh SA, et al. A carga mecânica inicia a formação de cicatrizes hipertróficas através da diminuição da apoptose celular. FASEB J. 2007;21(12):3250-61.
Leventhal D, Furr M, Reiter D. Tratamento de queloides e cicatrizes hipertróficas: uma meta-análise e revisão da literatura. Arch Facial Plast Surg. 2006;8(6):362-8.
Jiang Q, Chen J, Liu Z. Silicone gel sheeting para o tratamento de cicatrizes hipertróficas. Cochrane Database Syst Rev. 2019;6:CD013322.
Hirshowitz B, Lindenbaum E, Har-Shai Y, Feitelberg L, Tendler M, Katz D. Indução de campo estático-elétrico por uma almofada de silicone para o tratamento de cicatrizes hipertróficas e queloides. Plast Reconstr Surg. 1998;101(5):1173-1183.
Eishi K, Bae SJ, Ogawa F, Hamasaki Y, Shimizu K, Katayama I. Folhas de gel de silicone aliviam dor e prurido com melhora clínica de queloide: possível alvo de células de mastro. J Treatment Dermatol. 2003;14(4):248-252.
Tziotzios C, Profyris C, Sterling J. Cutaneous scarring: fisiopatologia, mecanismos moleculares e terapêutica de redução de cicatrizes Parte II. Estratégias para reduzir a formação de cicatrizes após procedimentos dermatológicos. J Am Acad Dermatol. 2012;66(1):13-24.
Mustoe TA, Cooter RD, Gold MH, Hobbs FD, Ramelet AA, Shakespeare PG, et al. Recomendações clínicas internacionais sobre gerenciamento de cicatrizes. Plast Reconstr Surg. 2002;110(2):560-7.
Signorini M, Clementoni MT. Avaliação clínica de um novo gel de silicone auto-secador no tratamento de cicatrizes: um relatório preliminar. Aesthet Plast Surg. 2007;31(2):183-7.
Jalali M, Bayat A. Uso atual de esteroides no manejo de cicatrizes anormais de pele levantadas. Surgeon. 2007;5(3):175-80.
Naeini FF, Najafian J, Ahmadpour K. Bleomycin tattooing como modalidade terapêutica em grandes queloides e hipertróficos. Dermatol Surg. 2006;32(8):1023-9.
Cruz NI, Korchin L. Inibição do crescimento do fibroblasto de queloide humano por isotretinoína e acetonida triamcinolona in vitro. Ann Plast Surg. 1994;33(4):401-405.
Lumenta DB, Siepmann E, Kamolz LP. Pesquisa baseada na Internet sobre a prática atual para avaliação, prevenção e tratamento de cicatrizes, cicatrizes hipertróficas e queloides. Wound Repair Regen. 2014;22(4):483-491.
Leclère FM, Mordon SR. Vinte e cinco anos de prevenção ativa a laser de cicatrizes: o que aprendemos. J Cosmet Laser Ther. 2010;12:227-34.
O’Brien L, Pandit A. Folha de gel de silício para prevenção e tratamento de cicatrizes hipertróficas e queloides. Cochrane Database Syst Rev. 2013;9:CD003826.
Oosterhoff TCH, Beekman VK, van der List JP, Niessen FB. Tratamento a laser de características específicas da cicatriz em cicatrizes hipertróficas e queloide: uma revisão sistemática. J Plast Reconstr Aesthet Surg. 2021;74(1):48-64.
Shih R, Waltzman J, Evans GR. Plastic Surgery Educational Foundation Technology Assessment Committee Review of over-the-counter topical scar treatment products. Plast Reconstr Surg. 2007;119(3):1091-5.
Bock O, Schmid-Ott G, Malewski P, Mrowietz U. Qualidade de vida de pacientes com cicatrizes queloides e hipertróficas. Arch Dermatol Res. 2006;297(10):433-438.
Ogawa R. Keloid and Hypertrophic Scars Are the Result of Chronic Inflammation in the Reticular Dermis. Semin Plast Surg. 2021 Aug;35(3):145-152.
















